レジオネラ 肺炎 画像
2)肺炎球菌及びレジオネラ属菌以外の細菌及び真菌との交差反応性 下記の肺炎球菌及びレジオネラ属菌以外の菌種(63菌種)を検体と して試験するとき、Streptococcus mitisとS.
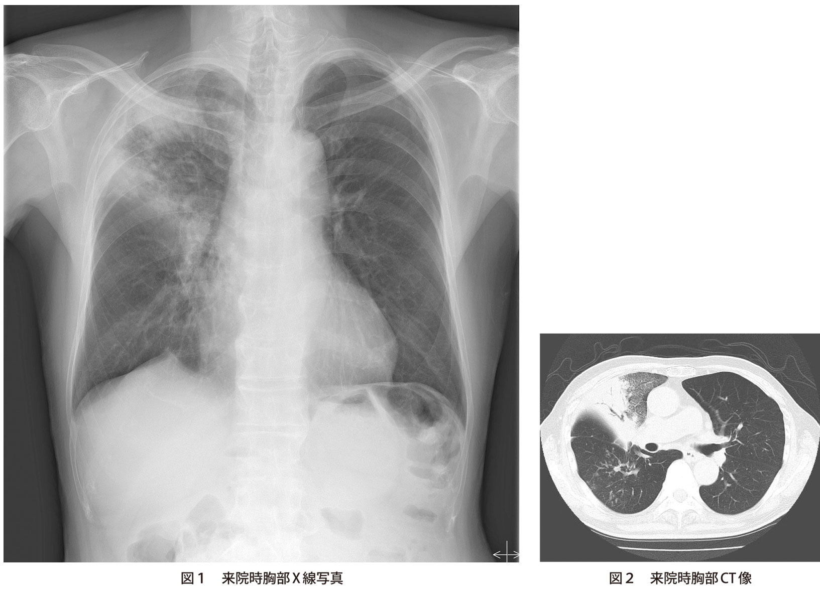
レジオネラ 肺炎 画像. レジオネラ肺炎は,入院を要する市中肺炎の1 ~5% を占めるとされている.肺炎球菌,肺炎桿 菌と同様,大葉性肺炎を来す代表的な病原体であ る3).初期のレントゲン写真の特徴は,片側肺の 非区域性で境界不鮮明な浸潤影である.胸水は入. 成人市中肺炎の画像診断ガイドライン 3 exposed to or with the disease. レジオネラ症(legionnaires' disease)はどの種類のレジオネラ菌でも引き起こされる非定型肺炎のひとつである 。 兆候や症状は咳、息切れ、高熱、筋肉の痛み、頭痛である 。 吐き気、嘔吐、下痢にもなりえる 。 これらの症状は曝露2日から10日後に現れる.
レジオネラ( Legionella )感染症-病因、病理生理学、症状、徴候、診断および予後についてはMSDマニュアル-プロフェッショナル版へ。. 肺炎連鎖球菌 市中肺炎の代表的な原因菌 は,肺炎球菌,インフルエンザ 桿菌,モラクセラ・カタラーリス, レジオネラ,クラミジア,マイコ プラズマの6菌種で,頻度とし ては肺炎球菌が最多となります。 知っておきたい 用語 Kohn孔. レジオネラ症は細胞内寄生性のグラム陰性桿菌であるレジオネラ属菌(Legionella spp.)による感染症で、菌は経気道感染する 1 。病型には肺炎型と感冒様のポンティアック熱型がある。ヒトからヒトへの感染はない。レジオネラ肺炎の潜伏期間は2~14日とさ.
症例 興味ある所見を呈した レジオネラ肺炎 の1例 (胸部の最新画像情報12) 杉浦 公彦,森 有紀,小勝負 知明 他 臨床放射線 57(1), 177-179, 12-01. 「肺炎画像診断のコツとピットフォール」 大分大学 呼吸器・感染症内科教授 門田 淳一 はじめに 今回は肺炎画像診断のコツとピットフォールについてご紹介します。 わが国は超高齢社会に突入し、肺炎は悪性疾患、心疾患に次いで死因の第3位になり まし. 256 モニタにおいて画像表示の整合性をとるた めのdicom規格はどれか。(65回)3 1.
君塚 善文,木村 聡一郎,石井 誠 他 呼吸器内科 21(4), 354-358, 12-04;. Ct 21 4 30 ˘ ˇˆ˘ ct ˇ˙ˆ˙˝˛˚ ˝˛˚ ˜ ˛˜ ct !. 非定型肺炎 マイコプラズマ、クラミジア(クラミドフィラ)、レジオネラ ウイルス性肺炎 サイトメガロウイルス、rsウイルス、インフルエンザウイルス、.
非区域性分布は肺胞性肺炎に認められるパターンであ り、肺炎球菌、クレブシェラ、およびレジオネラによる肺炎がこのパターンを呈する。 画像所見としては、非区域 性分布を示す肺胞性肺炎(図 8、図9)は、均等な浸潤影を 示し、病変の及んでいない周. レジオネラ肺炎における複数菌感染の重要性について報 告してきた6).レジオネラ肺炎の臨床像が明らかとなり, また,迅速診断が普及した現在,重要なことは治療成績 の向上である.Beninらは,米国でのレジオネラ肺炎の. レジオネラ肺炎では2~10日(平均 4~5日) ポンティアック熱では1~2日(平均 38時間) 感染期間 肺炎の持続期間 ポンティアック熱では生菌の関与は不 明 症状 レジオネラ肺炎:発熱,咳嗽,喀痰, 呼吸困難とともに,頭痛,筋肉痛,下.
急速な進展、多葉性・両側性。肺胞性肺炎 。 非区域性のコンソリデーション。ただし17%は区域性。 (Eur J Radiol.10 Jun;74(3):e73-8.) 区域性から非区域性への移行が早いということ。 肺野の陰影パターン (3タイプ報告あり。. 動画 図 画像 クイズ すべてのリソースを表示. ただ,レジオネラ肺炎で急性散在性脳脊髄炎(acute disseminated encephalomyelitis:ADEM)の経過を 辿った例13),ヘルペス脳炎様の所見を示した例なども あり14),レジオネラ肺炎の中枢神経症状の原因が MERSによるものと断定はできないが,今回の症例.
・・・『レジオネラ肺炎』の症例はたまに新聞やテレビなどのメディアを賑わしていますが氷山の一角ではないでしょうか。 “ 重症肺炎 ”の名目で広域抗生剤を長期間使用されて『 分からないけど良くなった 』症例や残念ながら亡くなってしまった症例. Pneumophila臨床分離株は 91 種類の遺伝子型(ST)に分けられた。 (neuAが増幅できなかった血清群5の6株と血清群10の1株を除く). 目次1 肺胞性(大葉性)肺炎(airspace pneumonia)1.1 画像所見2 非区域性コンソリデーションのパターンを示す非感染性疾患3 ご案内3.1 腹部画像診断を学べる無料コンテンツ3.2 画像診断LINE ….
市中肺炎の画像 ―画像所見から原因微生物は推定可能か? 宮下 修行 黒瀬 浩史 岡 三喜男 Keywords:市中肺炎,胸部画像,肺炎球菌,マイコプラズマ,レジオネラ 〔日内会誌 99:1097~1103,10〕 1.抗菌薬選択からみた原因微生物の分類. 4mバイトの画像を伝送するとき,1秒間に 伝送できる最大の画像枚数はどれか。 2 1. レジオネラ肺炎の画像診断 東京都立駒込病院放射線診断部医長 酒井 文和 はじめに 本日はレジオネラ肺炎の画像所見の特徴についてお話したいと思います。 ご存じのように、レジオネラ肺炎は、いわゆる異型肺炎の一形で、通常のβ-lactam 系の.
-.& ˚/01’ ˜ /0!2˚13,.-˜ 234’567:5 $;9<=>?9. ますと,レジオネラ・ニューモフィラで約70%を占 めています.それ以外にL.bozemaniiやL.micdadei, 図1.調査期間および症例数. 図2.レジオネラ肺炎患者の年齢・性別分布(167症例). 図3.レジオネラ肺炎の起炎菌分布-170症例の解析-.. 画像検査:肺の中にレジオネラ肺炎を疑う影があるかを調べる 胸部レントゲン ( x線 写真)検査;.
レジオネラ肺炎 画像では従来から肺胞性肺炎を呈するとさ れてきた。 近年の報告では、非区域性に分布するすり ガラス陰影に混在して、気管支血管束周 囲に分布する境界明瞭なコンソリデーショ ンが認められることが特徴であるとされて いる。. Pseudopneumoniae 以外は全て陰性判定となった。(菌濃度: 2.0×108 CFU/mL). High-resolution computed tomography is useful for early diagnosis of severe acute.
い市中肺炎で重症化を予測することは簡単ではない。 接触歴はなく初診時および入院時にて疑似症とする 根拠はとぼしかった。 COVID-19肺炎のCT 像は多様で、短期間の経過で急 速に変化することが報告されている1-4)。Early stage (0-4day) からprogressive stage (5-8day),. ・病歴と画像から、クラミジア肺炎・レジオネラ肺炎と区別することは困難 ②診断 1) マイコプラズマlamp法(咽頭ぬぐい液、または、喀痰) もっとも優れている、喀痰のほうが咽頭ぬぐい液より感度が高い 2) 抗体検査(pa法またはcf法:ペア血清が望ましい). 2.レジオネラ肺炎 レジオネラ肺炎は,診断の遅れや抗菌薬選択の誤りに より重症化し,死に至る肺炎として恐れられてきたが, 最近は,尿中抗原による簡便で的確な診断法の進歩によ り,診断は比較的容易になってきた4).しかし,尿中抗.
市中肺炎の画像所見は,気腔性肺炎(air-space pneumonia)と気管支肺炎(bronchopneumonia) パターンに大別される.前者の病型を来たす病 原微生物には,単独感染であれば肺炎球菌,肺 炎桿菌,レジオネラとクラミドフィラ・ニュー モニエ(肺炎クラミドフィラ. レジオネラ症は,Legionella属菌に汚染されたエア ロゾルを吸入することによって起こる感染症であり, 重症化しやすいレジオネラ肺炎とインフルエンザ様疾 患のポンティアック熱に大別される1 )2。レジオネラ肺.
Hospital City Sendai Jp Pdf P003 006 Pdf
レジオネラ肺炎 Medicina 53巻7号 医書 Jp
レジオネラ症とは
レジオネラ 肺炎 画像 のギャラリー
レジオネラ症 Wikipedia
診療所で診る市中肺炎 藤田 次郎 本 通販 Amazon
特集 新型コロナだけじゃない 命を落とす危険もある肺炎 加湿器肺 とは お笑いコンビ メッセンジャー あいはらさんが一時 意識不明に陥った闘病を告白 読売テレビ Yahoo ニュース
不衛生 名古屋のスーパー銭湯で配管の清掃不十分でレジオネラ菌が発生 女性客が多臓器不全 ワッフル
レジオネラ菌で発症者増加 ビル清掃 店舗清掃 床掃除 カーペット清掃 マンション清掃管理 愛知県名古屋市の株式会社オーアンドケー
のマンガ 温泉旅行後の不調 診断はレジオネラ肺炎 Open Doctors オープンドクターズ
Http Www Kansensho Or Jp Uploads Files Topics Disaster Con 4 Pdf
レジオネラ感染症 Legionella 医学事始 いがくことはじめ
Www City Fukuoka Lg Jp Data Open Cnt 3 7433 1 Rejionera2 Pdf
Http Www Hokkaido Med Or Jp Cmsdesigner Dlfile Php Entryname Medical Report Entryid Fileid 1046 07 Pdf Disp Inline
2
低p血症を呈したレジオネラ肺炎の一症例 Medicina 51巻2号 医書 Jp
大垣市民病院 呼吸器内科 レジオネラ肺炎 尿中抗原編
レジオネラ
レジオネラ菌の検査 土の常在菌にして水循環施設で増殖 毎年60名近くが死亡する危険な病原菌 環境未来web 環境未来ウェブ
のマンガ 温泉旅行後の不調 診断はレジオネラ肺炎 Open Doctors オープンドクターズ
呼吸器疾患 川越中央クリニック 駅前徒歩1分の内科です
Http Www Eiken Co Jp Poct Products Imuno Sp Leg Pdf Sp Leg Tenpu Pdf
Www Fukushihoken Metro Tokyo Lg Jp Tamafuchu Eisei Legionella Files R2 3 Taisaku Pdf
レジオネラ菌の検査 土の常在菌にして水循環施設で増殖 毎年60名近くが死亡する危険な病原菌 環境未来web 環境未来ウェブ
レジオネラ肺炎に伴う一過性の脳病変 実践 画像診断q A 羊土社 レジデントノート 羊土社
Www Pref Niigata Lg Jp Uploaded Attachment Pdf
Www Shizuokahospital Jp Media Konai 37 Pdf
08 11月 複十字病院呼吸器センターのブログ
2
診療所で診る市中肺炎 藤田 次郎 本 通販 Amazon
のマンガ 温泉旅行後の不調 診断はレジオネラ肺炎 Open Doctors オープンドクターズ
Http Www Kyorin Pharm Co Jp Prodinfo Useful Doctorsalon Upload Docs Pdf
Www Saiseikai Hp Chuo Fukuoka Jp Outline Data Pdf 03 Pdf
Http Www Saaaj Jp Pdf 18 18 016 Pdf
のマンガ 温泉旅行後の不調 診断はレジオネラ肺炎 Open Doctors オープンドクターズ
Http Www Jrs Or Jp Quicklink Journal Nopass Pdf j Pdf
Http Www Npo Spa Jp Files User Img 2 E5 85 A8 E5 9b E6 9d A1 E4 Be 8b E9 9b 86 E5 8d E8 91 E7 9c 8c E5 85 A5 E6 B5 B4 E6 96 E8 A8 Ad 81 Ab 81 8a 81 91 8b Ac B8 8d E7 97 87 E9 98 B2 E6 Ad E5 Af Be E7 Ad 96 Ef 91 Pdf
2
レジオネラ肺炎 呼吸と循環 52巻2号 医書 Jp
特殊な感染症 レジオネラ肺炎 臨牀透析 32巻2号 医書 Jp
Http Www Kcho Jp Media Pdf News Pressroom press Pdf
Http Www Pref Toyama Jp Branches 1279 Kansen Sokuhou 17 Kansen1739 Pdf
色々な肺炎 奥田洽爾 診療医学
Www Takamatsu Jrc Or Jp Archives 010 1712 E9 Ab 98 E6 9d Be E9 80 81 E4 98 Pdf
今 感染症は レジオネラ症 M Review
昭和大学リウマチ膠原病内科 今週の1分間レクチャー レジオネラ肺炎について 徳永先生 Facebook
Www Neurology Jp Org Journal Public Pdf Pdf
Hashtag 全身性倦怠感 Di Twitter
Http Www Kobelcokaken Co Jp Tech Library Pdf No22 A Pdf
Http Idsc Tokyo Eiken Go Jp Assets Survey Kobetsu J1043 Pdf
現状の問題点に対するご提案資料 04 2 Memorialmax Ppt Download
2
Http Www Kankyokansen Org Journal Full Pdf
Www Mhlw Go Jp File 06 Seisakujouhou Kenkoukyoku Pdf
レジオネラ肺炎に対する抗菌薬の選択をどうするのか 呼吸器ジャーナル 65巻3号 医書 Jp
Www Tairahos Or Jp Publics Download File Files Content Type Type019 109 Pdf
疑問 レジオネラ肺炎はなぜ比較的徐脈なのか 踊る救急医
Http Www Jscm Org Journal Full 021 Pdf
レジオネラ肺炎菌 3dイラスト レジオネラ症の原因物質 の写真素材 画像素材 Image
Http Www Pref Toyama Jp Branches 1279 Kansen Sokuhou 19 Kansen19 Pdf
問題 約2週間の経過で肺炎像を呈し入院した高齢男性の1例 実践 画像診断q A 羊土社 レジデントノート 実践 画像診断q A 羊土社 レジデントノート 羊土社
Ppt 鹿児島県レジオネラ症防止対策講習会 Powerpoint Presentation Id
Pdf A Case Of Legionella Pneumonia Associated With Acute Respiratory Distress Syndrome Ards And Acute Renal Failure Treated With Methylprednisolone And Sivelestat
Www Takamatsu Jrc Or Jp Archives 010 1712 E9 Ab 98 E6 9d Be E9 80 81 E4 98 Pdf
2
Www City Osaka Lg Jp Kenko Cmsfiles Contents 5669 Rejionera Bira Pdf
Http Www Saitama Med Ac Jp Jsms Vol30 01 30 091 098 Pdf
年末年始に生まれて初めて肺炎にかかり寝正月になりました Drk7jp
Http Www Let Toyokankyo Com Pdf List Newspaper Newspaper1 Pdf
Kishiwada Tokushukai Or Jp Sp Section Research File Er 06 Pdf
い草ラグ 抗菌作用など機能のご紹介 ホームズ 新川崎店
40 レジオネラ肺炎のしくみ Youtube
Dr 大谷の院長日記 レジオネラ肺炎 夕刊フジ
Www Pref Akita Lg Jp Uploads Public Archive 00 Rezio01 Pdf
Http Www Saitama Med Ac Jp Jsms Vol30 01 30 091 098 Pdf
Www Hosp Mie U Ac Jp Soshin Web Wp Content Uploads 18 08 E44a499d6eec71c36fbfa5 Pdf
Pdf Legionellosis In Japan And Overseas In Japanese
Http Www Jscm Org Journal Full Pdf
2
Http Www Jrs Or Jp Quicklink Journal Nopass Pdf j Pdf
症例解説 呼吸器感染症の分類と画像パターン アンターメディア
レジオテック
Dr 大谷の院長日記 レジオネラ肺炎か肺炎球菌肺炎か 薬剤性肺炎か
とうえいブログ 大阪市東淀川区の 内科 リウマチ科 東永内科リウマチ科
Www Jmedj Co Jp Files Item Books pdf 978 4 7849 4772 0 Pdf
メモ レジオネラ肺炎の病理 感染症の病理学的考え方
のマンガ 温泉旅行後の不調 診断はレジオネラ肺炎 Open Doctors オープンドクターズ
Www City Otsu Lg Jp Material Files Group 3 Legionellosis Pdf
大垣市民病院 呼吸器内科 レジオネラ肺炎 尿中抗原編
Www City Toyonaka Osaka Jp Kenko Kenko Hokeneisei Seikatu Eiseisisetu Redionelataisaku Files Rejionerapanf Pdf
Www City Fukuoka Lg Jp Data Open Cnt 3 7433 1 Rejionera2 Pdf
レジオネラ菌の郵送検査 浴槽水 源泉 クーリングタワー 冷却塔 24時間風呂でのレジオネラリスクを解説 環境未来
お知らせ イベント情報 九州大学 医学部 大学院医学系学府 大学院医学研究院
Pazufloxacin投与中に再燃を来したレジオネラ肺炎の1例 呼吸と循環 59巻2号 医書 Jp
Http Www Kin Ikyo Chuo Jp Common Pdf Medical Center Medical journal 35 08 Takahashi Pdf
Core Ac Uk Download Pdf Pdf
Http Www Jrs Or Jp Quicklink Journal Nopass Pdf j Pdf
検査項目別パンフレット 検査項目別パンフレット 食品 環境分野 微生物検査 関東化学株式会社
レジオネラ症に注意しましょう 岡山県健康づくり財団
レジオネラ肺炎 呼吸器内科医への道
のマンガ 温泉旅行後の不調 診断はレジオネラ肺炎 Open Doctors オープンドクターズ


